\ \ こんなお悩みありませんか? / /
\こんなお悩みありませんか?/
✓ホワイトニングしたいけど高い
✓ホワイトニングしたけど効果が無かった
✓ホワイトニングをした時、歯にしみる
✓白さが持続しなかった
✓自分のペースでホワイトニングしたい
✓手軽にホワイトニングをしたい
そんな時は
当院がお勧めする
「新ホワイトニング」を検討して下さい!
ATTENTION
注目の新ホワイトニングについて
当院がお勧めする新ホワイトニング
「なまらホワイトニング」
当院がお勧めする新ホワイトニング
「なまらホワイトニング」
「なまら」とは、北海道弁で「とても」という意味を指す方言です。
なまらホワイトニングは、今までホワイトニングのイメージである
・痛い
・しみる
・高額
この3点を一掃した、画期的なホワイトニングです。
商品の開発者は、日本よりも歯に対する意識の高いアメリカで10年間歯科業界で勤務された方が開発。
そこでの経験を元に、日本人向けに開発した商品が
「なまらホワイトニング」です。
なまらホワイトニングは、
オフィスホワイトニング1回 + ホームホワイトニング
=『デュアルホワイトニング』となります。
FEATURES
なまらホワイトニングの特徴
特徴①:デュアルホワイトニング
なまらホワイトニングは、『デュアルホワイトニング』
ホワイトニングペン(ホーム)と照射(オフィス)で理想の白さを手に入れます。
特徴①:
「デュアルホワイトニング」
なまらホワイトニングは、『デュアルホワイトニング』
ホワイトニングペン(ホーム)と照射(オフィス)で理想の白さを手に入れます。
照射で2段階白さがアップ!
ホームペンで更に2段階アップ!!
特徴②:マウスピースに薬剤が内包
シリコンのマウスピースには、薬剤が内包済み。
なので、マウスピースを装着するだけで準備OK!
20分間LEDライトを照射して完了。
特徴②:
「マウスピースに薬剤が内包」
シリコンのマウスピースには、薬剤が内包済み。
なので、マウスピースを装着するだけで準備OK!
20分間LEDライトを照射して完了。
治療時間は20分でOK!
時短でホワイトニングが可能!!
\ メリット・デメリット /
なまらホワイトニングの
メリット
・ホワイトニング特有の痛さが軽減
・しみにくい
・オフィスとホームのセット価格で経済的
・ホワイトニング効果が長続ちする
・色戻りが起きにくい
なまらホワイトニングの
デメリット
・満足いく白さになるまでは複数回必要になる
・自己管理が必要
COST
なまらホワイトニングの費用
【1回プラン】:12,000円(税込み)
【3回プラン】:36,000円⇒35,000円(税込み)
1回プラン×3回より
1,000円お得!
【5回プラン】:60,000円⇒50,000円(税込み)
1回プラン×5回より
10,000円お得!!
»» 平均5・6回で効果を実感している方が多いです
\ なまらホワイトニングのことをもっと詳しく知りたい! /
-お気軽にご相談ください-
FLOW
当院のホワイトニングの流れ
カウンセリング
カウンセリング
Step01
先ずはカウンセリングを行い、ホワイトニングができる・できないのチェックをします。*疾患によってはできないことがあります
問題なければ、希望の白さなどを聞いて参ります。
口内撮影
口内撮影
Step02
現状の口内を撮影し、歯の白さなどを確認します。
また、ホワイトニング前とホワイトニング後で効果を実感・比較して頂くために撮影する、という意味合いもあります。
マウスピース装着
マウスピース装着
Step03
ジェル状の薬剤が入ったマウスピースをセルフで装着します。
殆どのホワイトニングは、「薬剤を歯に塗布⇒マウスピース装着」という流れですが、なまらホワイトニングはそれがないので時短でホワイトニングができます。
照射
照射
Step04
LEDライトを照射します。
所要時間は約20分程度です。
照射後の説明⇒ホーム⇒完了
照射後の説明⇒ホーム⇒完了
Step05
ホームホワイトニングの説明を受けます。
分からない点などを質問し、特に問題なければ完了です。
\ なまらホワイトニングのことをもっと詳しく知りたい! /
-お気軽にご相談ください-
CASES
症例
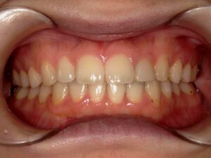
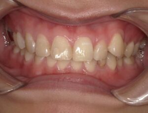
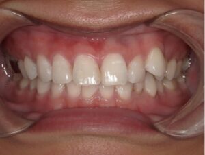
症例 20代女性:なまらホワイトニング1回
リスク:術中、術後数日間の知覚過敏症状。

症例 20代女性:なまらホワイトニング1回
リスク:術中、術後数日間の知覚過敏症状。
ホワイトニング前 ホワイトニング後

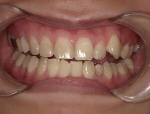
症例 20代女性:なまらホワイトニング2回
リスク:術中、術後数日間の知覚過敏症状。

症例 20代女性:なまらホワイトニング2回
リスク:術中、術後数日間の知覚過敏症状。

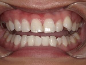
症例 20代女性:なまらホワイトニング5回
リスク:術中、術後数日間の知覚過敏症状。


症例 20代女性:なまらホワイトニング5回
リスク:術中、術後数日間の知覚過敏症状。

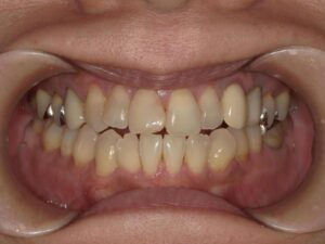
症例 20代男性:なまらホワイトニング5回
リスク:術中、術後数日間の知覚過敏症状。
【ホワイトニング前】

【ホワイトニング後】

症例 20代男性:なまらホワイトニング5回
リスク:術中、術後数日間の知覚過敏症状。
ホワイトニング前

ホワイトニング後

症例 20代女性:なまらホワイトニング5回
リスク:術中、術後数日間の知覚過敏症状。
【ホワイトニング前】

【ホワイトニング後】

症例 20代女性:なまらホワイトニング5回
リスク:術中、術後数日間の知覚過敏症状。
ホワイトニング前

ホワイトニング後

症例 30代女性:なまらホワイトニング5回
リスク:術中、術後数日間の知覚過敏症状。
【ホワイトニング前】
【ホワイトニング後】-300x225.jpg)
症例 30代女性:なまらホワイトニング5回
リスク:術中、術後数日間の知覚過敏症状。
ホワイトニング前 ホワイトニング後
-1-300x225.jpg)
症例 20代女性:なまらホワイトニング5回
リスク:術中、術後数日間の知覚過敏症状。
【ホワイトニング前】

【ホワイトニング後】

症例 20代女性:なまらホワイトニング5回
リスク:術中、術後数日間の知覚過敏症状。
ホワイトニング前

ホワイトニング後

INTRODUCTION
当院の紹介
ホワイトニングの実績が豊富
01
当院は、これまでも沢山の患者様にホワイトニングを施術して参ました。
もちろんのこと、なまらホワイトニング以外のホワイトニングも扱っております。
カウンセリングを行い、患者様にとって最適なホワイトニング・満足のいくホワイトニングを日々ご提案しています。
なまらホワイトニングは、特に患者さまの「高い・痛い・時間がかかる」というホワイトニングのイメージを払拭するデュアルホワイトニングだからこそ、皆様におすすめしたいホワイトニングです。
症例 60代女性:オフィスホワイトニング(ブースト)+エアフロー
エアフローによる出血。



症例 60代女性:オフィスホワイトニング(ブースト)+エアフロー
エアフローによる出血。



症例 30代男性:ホームホワイトニング
リスク:術中、術後数日間知覚過敏症状。


症例 30代男性:ホームホワイトニング
リスク:術中、術後数日間知覚過敏症状。


最適なプランをご提案
02
トリートメントコーディネーターとは、治療をする歯医者さん側と患者様の懸け橋となる存在です。
患者様に納得のいく治療を受けて頂くための、言わば、「治療説明・コミュニケーションプロ」。
当院のホワイトニングは全て、このトリートメントコーディネーターが指導したスタッフが対応をしますので、患者様には納得のいくホワイトニングをご提案させて頂きます。
*トリートメントコーディネーターは、日本歯科TC協会が実施するTC資格認定を合格した者に付与する資格です
最適なプランをご提案
02
トリートメントコーディネーターとは、治療をする歯医者さん側と患者様の懸け橋となる存在です。
患者様に納得のいく治療を受けて頂くための、言わば、「治療説明・コミュニケーションプロ」。
当院のホワイトニングは全て、このトリートメントコーディネーターが指導したスタッフが対応をしますので、患者様には納得のいくホワイトニングをご提案させて頂きます。
*トリートメントコーディネーターは、日本歯科TC協会が実施するTC資格認定を合格した者に付与する資格です
快適なホワイトニングルーム完備
03
当院のホワイトニングルームは、治療に専念しやすい落ち着いた空間をご用意しております。
他の患者様の目を気にすることなく、ストレスフリーで20分の照射時間を過ごすことができる空間となっております。
ホワイトニングコンシェルジュが対応
04
ホワイトニングの説明をするプロ・患者様とコミュニケーションをとるプロが「ホワイトニングコンシェルジュ」です。
当院ではトリートメントコーディネーターと、このホワイトニングコンシェルジュ有資格者が指導したスタッフが対応をします。
ホワイトニングに関して専門的に説明しますので、患者様には最適なホワイトニングのプランをご提案できます。
快適なホワイトニングルーム完備
03
当院のホワイトニングルームは、治療に専念しやすい落ち着いた空間をご用意しております。
他の患者様の目を気にすることなく、ストレスフリーで20分の照射時間を過ごすことができる空間となっております。
ホワイトニングコンシェルジュが対応
04
ホワイトニングの説明をするプロ・患者様とコミュニケーションをとるプロが「ホワイトニングコンシェルジュ」です。
当院ではトリートメントコーディネーターと、このホワイトニングコンシェルジュ有資格者が指導したスタッフが対応をします。
ホワイトニングに関して専門的に説明しますので、患者様には最適なホワイトニングのプランをご提案できます。
\ ホワイトニングコンシェルジュ在籍 /
\ ホワイトニングコンシェルジュ在籍 /
\ なまらホワイトニングのことをもっと詳しく知りたい! /
-お気軽にご相談ください-
DOCTOR
院長紹介
杉山 裕貴 ‐ Yuki Sugiyama
皆さまこんにちは。
八王子きずな歯科の院長の杉山裕貴です。
当院では3種類のホワイトニングをご用意しています。その中でも‘’なまらホワイトニング‘’を特におすすめしています。
なまらって北海道弁で「とっても」の最上級!とっても早くて、とっても簡単で、とっても実感できるホワイトニングです。
当院のスタッフがホワイトニングのセミナーを受講し‘’なまらホワイトニング‘’に興味を持ち、北海道まで施術しに行って効果を実感し導入しました。
きずな歯科では、素敵な愛顔(えがお)で笑えるお手伝いをさせていただければと思います。
白い歯でいつもよりちょっと良い1日を過ごしませんか?
#Career
2015年 東京医科歯科大学歯学部歯学科卒業
2016年 東京医科歯科大学歯学部付属病院研修医
2017年 東京医科歯科大学歯学部付属病院総合診療部レジデント
2018年 埼玉県内の歯科医院にて経験を積む
2022年 『八王子きずな歯科』を開院
CONTACT
お問合せ
※祝日は休診日です(土曜日が祝日の場合は診療いたします)
※毎週金曜日14時半〜15時は院内勉強会を行っているためお電話が繋がりません。
15時以降におかけいただくか留守電を残して下さい。
GoogleMap:
|Address:
〒192-0046
東京都八王子市明神町2-21-8
パークキューブ京王八王子II1階
|Tell:
042-649-3075
|Parking:
提携駐車場あり
|Holiday:
火・日・祝
|SNS
|Treatment:
ホワイトニング・虫歯治療・歯周病治療
根管治療・入れ歯・矯正治療(小児矯正)
インプラント・小児治療・予防歯科治療





